Everything you need to know about dental implant options & pricing!
Customized Treatments. Better Results. Best Price, One Day!
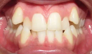
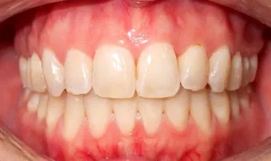
The Right Solution for Every Smile
At Premier Dental Center, we offer a range of dental implant options, using the latest procedures and technology to restore your smile beautifully and functionally.
Single Dental Implant
If you’re missing just one tooth, a single dental implant crown is your best option. It looks and functions just like a natural tooth, restoring your natural chewing ability while preserving your bone structure. This solution will also save you money in the long run by providing a lasting replacement.
Multi-Implant Bridge
For those missing several teeth, a multi-implant bridge is ideal for filling medium-sized gaps in your smile. These bridges are incredibly strong, offer a permanent solution, and are designed to preserve your bone. A multi-implant bridge provides a life-long replacement that feels and looks natural.
Implant Stabilized Overdentures
Missing lots of teeth? Implant Stabilized Overdentures are a cost-effective alternative to traditional dentures. These overdentures snap into place over 2-4 implants, preventing bone loss while vastly improving your ability to chew and taste food.
Full Fixed Set of Teeth
A full, fixed set of teeth offers a permanent solution using the latest dental technology to give you a beautiful smile that’s as good as or even better than the one nature gave you. This option is chip and stain-resistant, doesn’t need to be removed, and is custom-designed to fit securely onto 4-6 implants per arch.
Find Out If Your Medical Insurance Provides Coverage
The most Advanced Full Mouth Implant Treatments at the Most Competitive Prices.
Our vertical integration from design to restoration results in New Teeth that are lighter, Stronger, Longer Lasting, & Better Looking, than anything else on the market today!
Our Goal is not to “Sell” Dental Implant Treatments, our Goal is to plan/engineer Long Lasting, Life Changing Results for our Patients! Each person is unique and has a different idea or vision for what type of results are ideal for their lifestyle. Our Job is to Manifest that Vision.
Find Out If You're An Implant Candidate And Get Pricing Instantly!
what type of "Result" are you looking for?
Many patients aiming for dental implants desire:
- Natural, Beautiful Aesthetics!
- A Comfortable Feel That doesn't hinder taste or speaking ability.
- Durability and Longevity so that it lasts for a lifetime.
- Something that is Easy to Maintain, Brush and Floss.
- The Highest degree of function to Eat, Chew, and Speak like Normal!
To Speak With one of our dental implant experts call now!
Meet Dr. Joseph Tadros
Discover the difference with Dr. Joseph Tadros, a dedicated expert who combines advanced training and a compassionate approach to deliver outstanding dental implant treatments.
- Recognized Leader: Dr. Tadros focuses on patient-centered care, specializing in enhancing smiles through expert implant dentistry.
- Proven Experience: Trained in implant placement and restorative procedures, he ensures precise, lasting results tailored to individual needs.
- Educational Background: Dr. Tadros holds a DMD from Midwestern University and continually updates his skills through advanced training.
- Specialization: Delivers holistic care with a focus on implants, crowns, and laser therapy, blending expertise with personalized attention.
- Advanced Techniques: Provides individualized care specific to each patient’s unique needs, blending the latest advancements in technology with personalized care.
Get information on Pricing & Options
Answer The Following Questions To Learn More About Our Pricing And Financing Options.






